24 de marzo el Día Mundial de la Tuberculosis

Continúa la tendencia descendente de la tuberculosis en Galicia

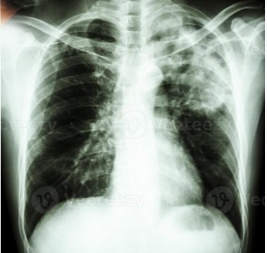
La radiografía de tórax de la película muestra un infiltrado alveolar en la parte superior del pulmón izquierdo debido a una infección por Mycobacterium tuberculosis tuberculosis pulmonar.
El desarrollo del Programa gallego de prevención y control de la tuberculosis de la  Dirección General de Salud Pública de la Consellería de Sanidad, permite realizar el diagnóstico el más rápido posible y poner a todos los enfermos bajo tratamiento para reducir este riesgo. Al mismo tiempo, se realiza el estudio a todas las personas que estuvieron en contacto con un caso de tuberculosis contagiosa y se ofrece tratamiento a aquellos que están infectados, evitando que desarrollen la enfermedad en un futuro.

La Consellería de Sanidad conmemora este 24 de marzo el Día Mundial de la Tuberculosis, cuyo lema es "Sí, podemos poner fin a la tuberculosis", reiterando su compromiso de continuar con los esfuerzos y actuar en consonancia con la estrategia "Fin a la tuberculosis", de la Organización Mundial de la Salud, que tiene por objetivo reducir el incidente de la tuberculosis un 80% en el año 2030 con respeto al 2015 para, posteriormente, eliminar esta enfermedad en el 2050.

El desarrollo del Programa gallego de prevención y control de la tuberculosis de la  Dirección General de Salud Pública de la Consellería de Sanidad, permite realizar el diagnóstico el más rápido posible y poner a todos los enfermos bajo tratamiento para reducir este riesgo. Al mismo tiempo, se realiza el estudio a todas las personas que estuvieron en contacto con un caso de tuberculosis contagiosa y se ofrece tratamiento a aquellos que están infectados, evitando que desarrollen la enfermedad en un futuro.

La positiva evolución del Programa gallego en estos 27 años, desde que fue implantado, se refleja en la tendencia descendente del incidente de los casos de tuberculosis en la población infantil y adulta en nuestra comunidad autónoma, y en un nuevo perfil de paciente con la presentación de los casos en edades más avanzadas y con otras patologías asociadas, sobre todo aquellas que afectan al sistema inmunitario, como se describe con detalle en el informe que anualmente publica la Dirección General de Salud Pública de la Consellería de Sanidad: Informe de la tuberculosis en Galicia. Características de los casos de tuberculosis de Galicia en el año 2022. Evolución del período 1996-2022.

Los datos que se exponen corresponden al 2022, último año evaluado de la situación epidemiológica de la tuberculosis en nuestra comunidad. El motivo de que no se presenten las principales características de esta enfermedad en el año 2023 obedece a varios factores, entre los que están: la busca activa por parte de las Unidad de prevención y control de la tuberculosis de posibles casos no declarados; la confirmación de los cultivos del Mycobacterium tuberculosis cómo negativos precisa de una incubación de hasta 2 meses; la evaluación y presentación de los resultados de los tratamientos de la enfermedad tuberculosa, que son de larga duración (mínimo 6 meses, pero pueden llegar a los 2 años como nos casos de tuberculosis multirresistente), es que la información de todo el registro es revisada exhaustivamente, lo que hace que tenga una gran calidad y sea modelo de vigilancia epidemiológica para otras regiones.

TENDENCIA DECRECIENTE

Con respeto del año 1996, el número total de casos de tuberculosis en Galicia descendió en el 2022 un 84,3% (se pasó de 1.963 a 308 casos) con una merma por término medio anual del incidente del 6,8% (como adelanto, decir que los datos provisionales del año 2023 reflejan la continuidad de esta tendencia decreciente).

La mayor parte de los casos se diagnosticaron en pacientes autóctonos, con presentaciones en edades cada vez más avanzadas y con otras patologías asociadas, sobre todo aquellas que afectan al sistema inmune. Los pacientes nacidos fuera de España van progresivamente en aumento y de forma constante, debiendo señalar la mayores el número de casos importados que, en el 2022, fue el más alto de nuestra serie.

El bajo porcentaje de tuberculosis multirresistente y el alto índice de resultados satisfactorios de los tratamientos instaurados, tanto en la tuberculosis sensible como en la tuberculosis resistente, a lo que contribuye que más del 65,0% de los casos tuvieron un tratamiento en régimen supervisado, los indican un buen control de la tuberculosis en Galicia.

Desde el 2020 Galicia implantó el régimen terapéutico corto, que incluye la bedaquilina y, en este último año, también el pretomanid, con el fin de mejorar la eficacia del tratamiento de las tuberculosis multirresistentes. A mayores, se da la circunstancia de la poca relevancia que la infección por el VIH tuvo en el conjunto de la enfermedad.

Uno de los principales objetivos del Programa de tuberculosis de Galicia es lo de continuar con la tendencia decreciente del incidente de la enfermedad, objetivo que se cumplió ampliamente. Asimismo, se alcanzaron unos resultados muy satisfactorios de los tratamientos de la tuberculosis instaurados en este año, muy superiores a los objetivos marcados por la Organización Mundial de la Salud.

Para los próximos años, la Consellería de Sanidad tiene por objetivo conseguir un incidente menor de 10 casos por 100.000 habitantes, en el marco del Plan nacional de la tuberculosis y de la estrategia fin de la tuberculosis de la OMS. Un objetivo más ambicioso sería lo de la IU, de alcanzar un incidente de 2,4 casos por 100.000 habitantes en el año 2030.

LÍNEA CLAVE DE SALUD PÚBLICA

Hace falta remarcar que, disponer en Galicia de un Programa de tuberculosis bien estructurado, con un sistema epidemiológico de vigilancia específico y el trabajo, esfuerzo y coordinación de los profesionales de la sanidad gallega, en especial de los equipos de las siete unidades de tuberculosis, de los microbiólogos y del laboratorio de referencia de micobacterias de Galicia, los permiten continuar con la vigilancia de la infección/enfermedad tuberculosa.

Aunque los indicadores del funcionamiento del Programa gallego sean favorables, la Consellería de Sanidad recuerda que no se puede bajar la guardia, por lo que se debe mantener la tuberculosis como línea clave en salud pública y potenciar las unidades de prevención y control de esta enfermedad, reforzándolas en su papel de referencia para el diagnóstico, seguimiento y tratamiento de todos los casos de enfermedad e infección tuberculosa, especialmente en los colectivos de especial vulnerabilidad de infectarse y/o enfermar, para así cortar la cadena epidemiológica de transmisión.

OTROS DATOS DE 2022

Hace falta remarcar, asimismo, que el 58,1% de los casos se presentaron en hombres. Por grupo de edad, el incidente más alto fue en los mayores de 74 años. El 2,9% fueron niños (menores de 15 años de edad). En conjunto, en el 76,3% de los casos (hombres 81,6% vs. mujeres 69,0%) se presentaron uno o más factores de riesgo asociados. El principal fue el tabaquismo (27,9%). La asociación tuberculosis/inmigración fue del 14,3% y la coinfección tuberculosis/VIH del 2,3%. Se documentó el resultado de la prueba del VIH en el 82,1% de los casos de tuberculosis, resultando positivos 7 (2,3%) casos.

La localización más frecuente fue la pulmonar (62,0%) y de ellos el 39,3% fueron casos bacilíferos (muy contagiosos).

Además, tenemos un nivel de resistencias bajo, el 16,3% del total de casos de 2022. Asimismo, remarcar que no hubo casos de tuberculosis multirresistente, forma más grave de tuberculosis.

En el año 2022, el 68,1% de los casos fueron supervisados por los equipos de las unidades de tuberculosis, con la finalidad de constatar el correcto cumplimiento de los tratamientos.

En el marco del programa, en el 2022, se estudiaron 990 contactos de enfermos de tuberculosis pulmonar, de los que 18 (1,8%) estaban enfermos y 241 (24,3%) infectados en el momento del estudio.

Se presentaron 10 brotes de tuberculosis en Galicia y de ellos el 60,0% fueron detectados en el ámbito familiar.

De los tratamientos de infección tuberculosa iniciados en el año 2021, lo finalizaron correctamente el 92,4%, ascendiendo al 97,9% en niños.